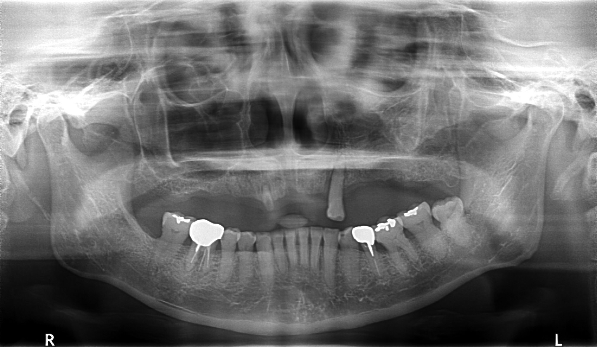
従来のインプラント治療では失った歯の本数に近似したインプラントの本数のインプラントが必要でしたが、オールオン4治療では最少4本のインプラントで片顎全体を支えることができます。そのため、埋め込むインプラントの本数が少なく、手術範囲が限定的になることで身体への負担を抑えることができます。
また、治療期間の短縮(骨造成期間+仮歯の作成期間=合計9ヶ月)も期待でき、身体に対する負担が軽減されるというメリットがあります。さらに、オールオン4の場合は治療当日に仮歯を装着するため、しっかりと噛むことができるというメリットもあります。
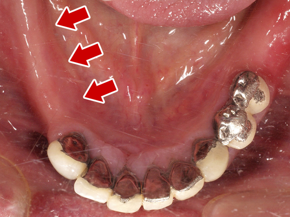
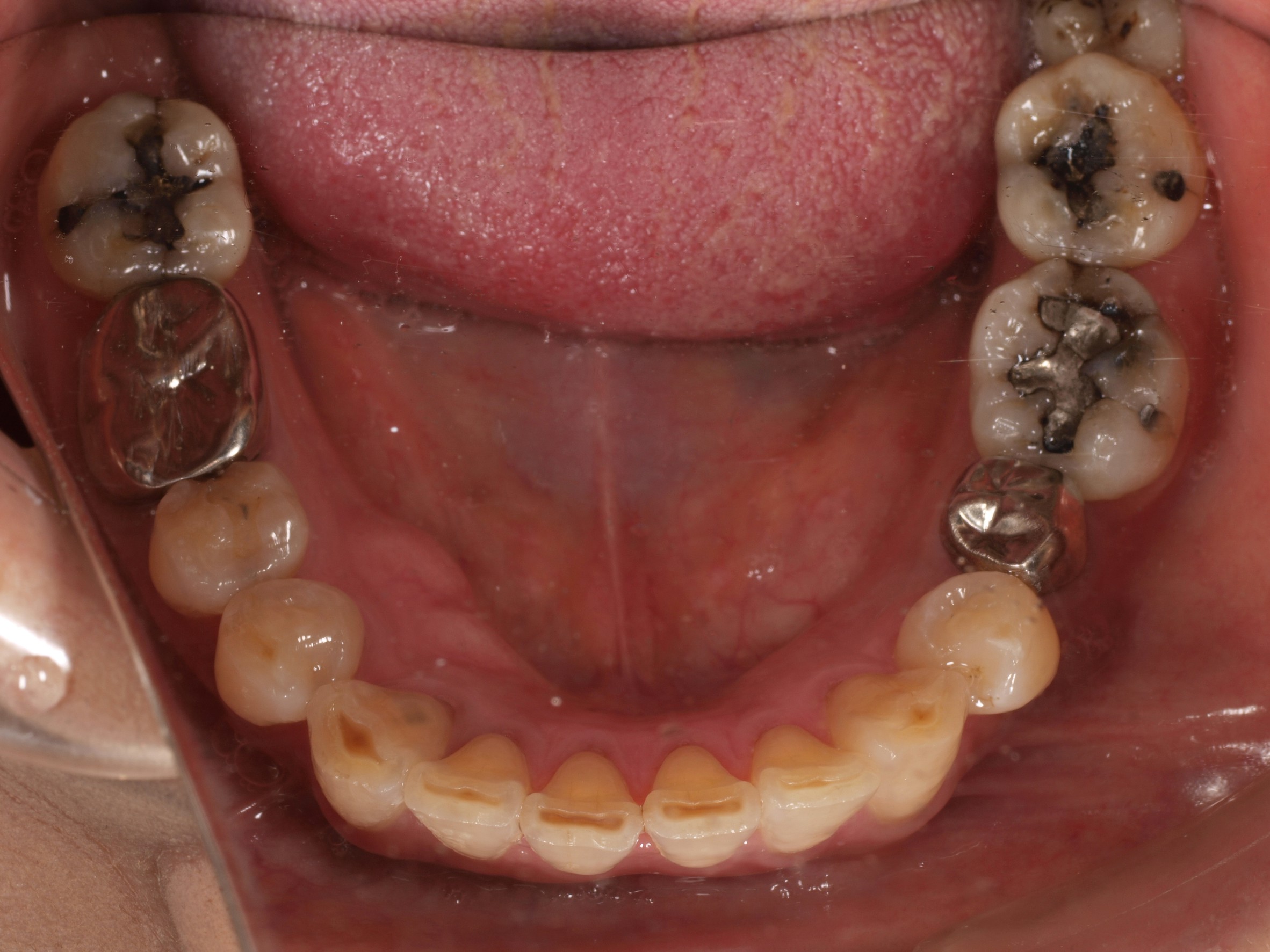
歯がボロボロの状態を
放置しておくリスク
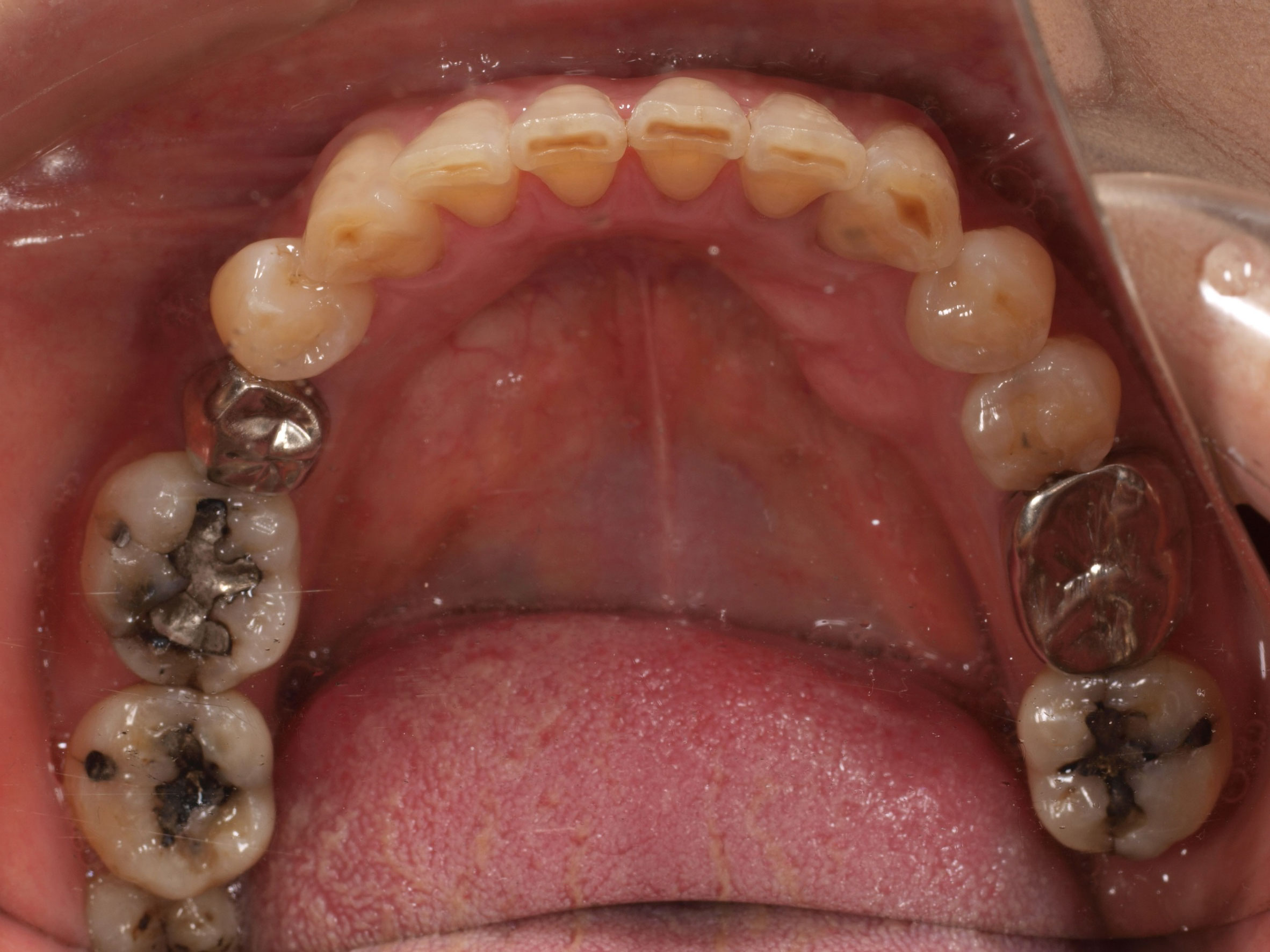
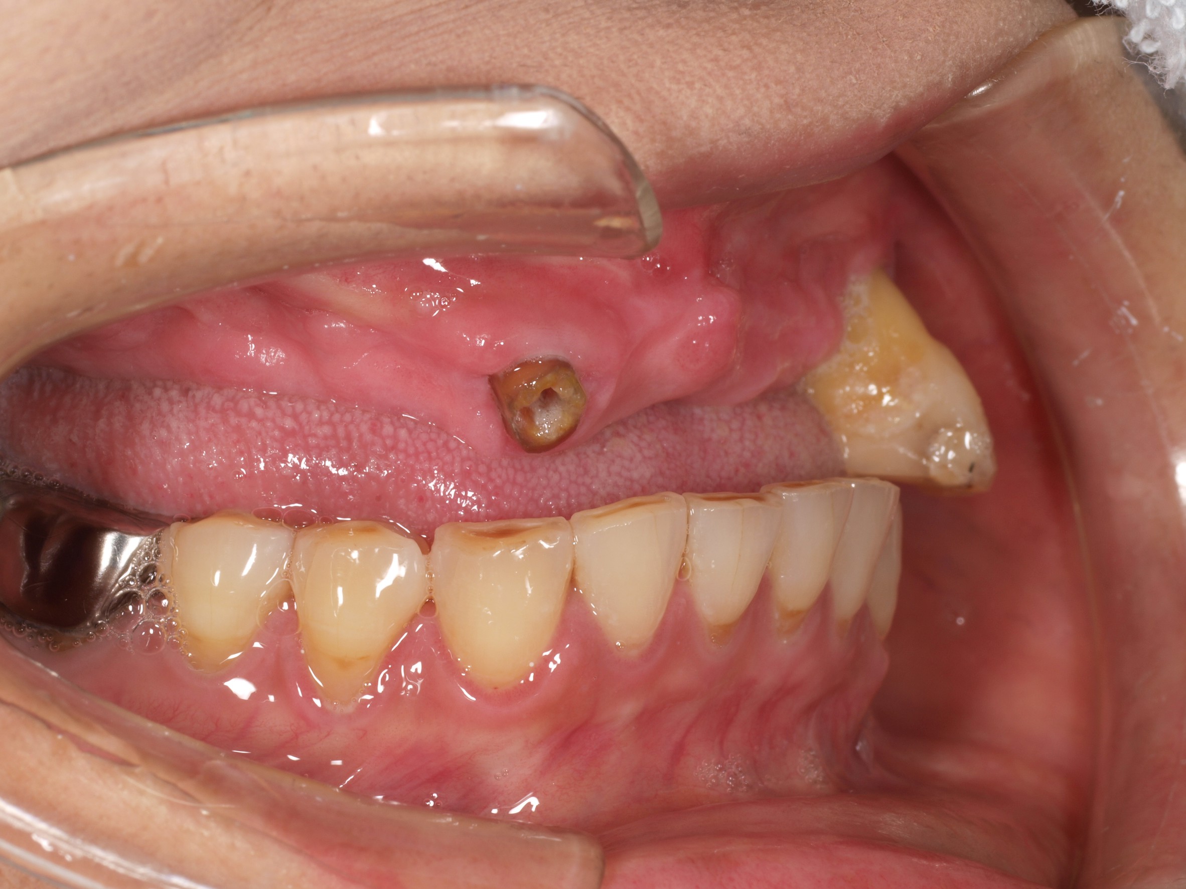
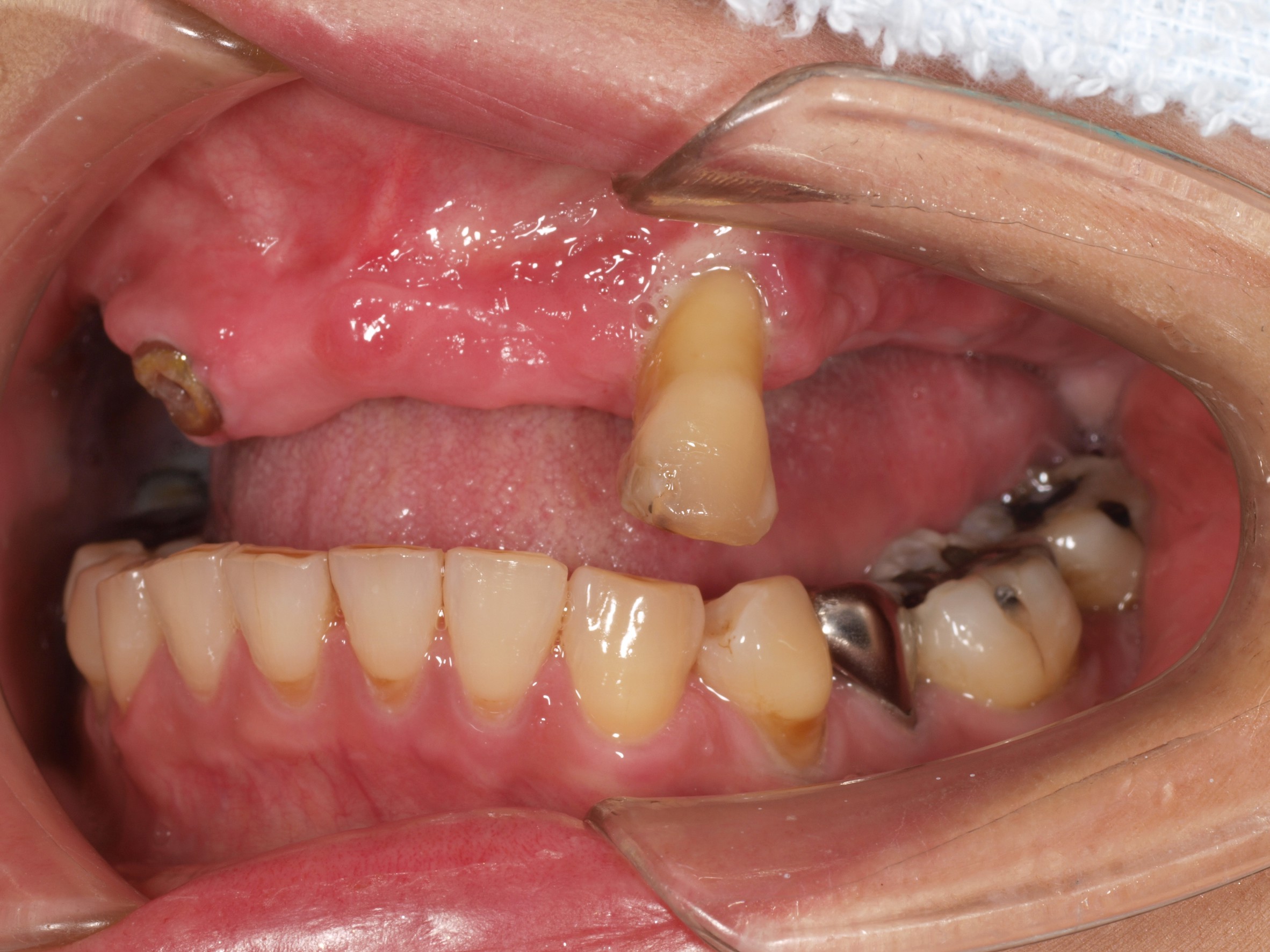
歯周病や虫歯などが原因で、歯がボロボロの状態、歯を失った状態で放置しておくと、歯髄炎や根尖性歯周炎や歯槽膿瘍を引き起こすだけでなく、歯槽骨の吸収も起きるため、最終的には歯を完全に失うことにつながります。また、蜂窩織炎や顎骨骨髄炎などの重大な症状につながることも考えられます。
歯をボロボロの状態にしておくことは、全身への影響も大きく、お口の細菌が、歯茎の血管から全身へ広がり感染症リスクが上昇し、狭心症や心筋梗塞、脳梗塞など発症リスクを高めます。また、歯周病を放置することは糖尿病のリスクを高めるなどの影響もあります。
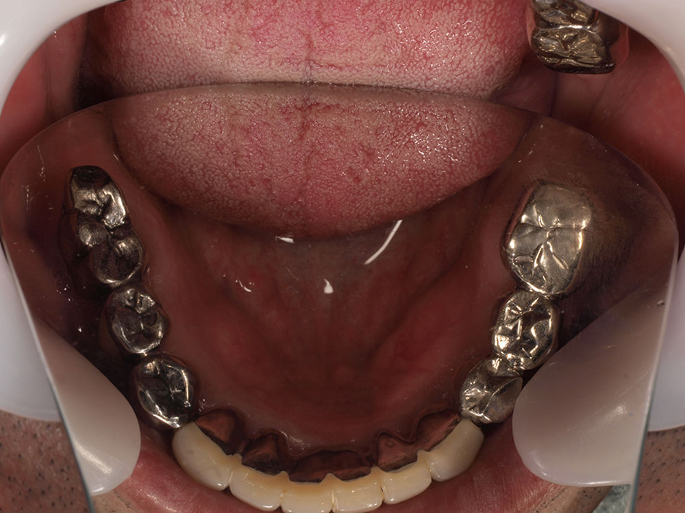
歯をボロボロの状態にしておくと、さまざまな全身疾患につながるリスクがあるだけでなく、歯を支える骨も徐々に破壊されてしまい、インプラントやオールオン4を入れるための顎骨が残らないケースも少なくありません。
また、お口の健康状態がよくないままオールオン4治療を行うことは、治療の成功率を大きく左右する重要な問題です。
歯周病菌が残っている状態でオールオン4を埋入すると、インプラント周囲炎を引き起こすリスクが高まります。インプラント周囲炎は、インプラント周辺の歯茎や骨に炎症が起こる状態で、進行するとオールオン4を支える骨が溶けてしまい、せっかく埋入したインプラントが不安定になったり、重症化した場合は脱落してしまう可能性があります。
このようなトラブルが起きた場合、オールオン4全体の再治療が必要もしくは、再治療が行えないケースもあり、患者様にとって大きな身体的・経済的負担となってしまいます。
そのため、どのような治療を行うにおいても、まずはお口の状態を整える必要があります。

名古屋イースト歯科・矯正歯科は、患者様にオールオン4・インプラントを長くお使いいただきたいという考えのもと治療に取り組んでいます。
インプラント体の埋入を丁寧に行うことはもちろんですが、長くオールオン4・インプラントを使うには、治療前のカウンセリングでお口の状況や今後の希望をヒアリングすること、事前にお口の健康状態を確認しておくことが重要です。
また、オールオン4・インプラントは装着してからの使用期間が長いため、定期的なメンテナンスもとても重要です。当院は、術後10年間の保証を提供し、患者様が長く、安定したオールオン4・インプラントをお使いいただけるよう、しっかりとサポートいたします。
長くインプラントを使用していただけるよう、当院では、事前準備から術後のサポートまで徹底することで、10年後インプラント残存率約98%(※1)を達成することができました。
そして何よりも、当院で行うオールオン4・インプラント残存率が高い理由は、「APスプレッド理論」を取り入れ、順守している点に尽きます。
建築でも「設計」は耐震に大きな影響を与えるように、このAPスプレッドは、オールオン4・インプラントを長持ちさせるために、非常に重要な考え方です。下記にてしっかりとお伝えいたします。
APスプレッドは、オールオン4・インプラントを長持ちさせるためにとても重要な考え方のため、下記でお伝えします。
※1
当院で実施したインプラント治療の残存率について
10年残存率 約98%
実施期間:(20年間)2005年1月~2024年12月(当院調べ)
インプラント総本数:4,055本
脱落数:38本

APスプレッドとは、インプラントと上部構造の歯の前後の配置において、どこまで前後に延長してよいかを判断する理論です。具体的には、後方の2本のインプラントを結んだ線から前方のインプラントを結んだ線までの前後距離を測定し、その距離の1.5倍まで上部構造を延長してよいという判断基準を指します。
通常、インプラントは骨の状態により後方は最大で5番目の歯の位置まで、前方も骨量の制限があるため、上部構造の歯はインプラント直下に配置できず、インプラントから離れた位置に「浮いた状態」で設置されることになります。APスプレッドは、この延長範囲の安全な限界を定める重要な指標となります。
例えば、住宅の建築をイメージするとわかりやすいのですが、家を建てる際にとても重要なのは柱の配置(設計)です。住宅の建築は、柱を適切な間隔で配置することで、建物全体の重量を効率的に支えています。もし柱が一箇所に集中していたり、間隔が不適切だったりすると、特定の柱に負荷が集中して建物が不安定になってしまいます。
APスプレッド理論も同じ考え方です。お口のなかのインプラントを柱として考え、噛む力という荷重を最も効率的に支えられる配置を科学的に計算します。歯があった場所や顎の骨が残っている場所にインプラントを配置するのではなく、とても安定する位置にインプラントを配置することで、建築物のような強固で長持ちする構造を実現するのがAPスプレッド理論の考え方となります。

APスプレッド理論を
用いるメリット
噛む力を適切に分散することで、1本のインプラントにかかる負担を大幅に軽減でき、インプラント周囲の骨への負荷も減少させることができます。
1本のインプラントだけに荷重がかかることが避けられた結果、長期安定性が向上するだけでなく、インプラント1本の摩耗が減るため、インプラントの寿命も伸ばすことができます。
APスプレッド理論
しっかり順守
成り立たない場合は、
オールオン6,オールオン7,オールオン8を
APスプレッド理論において重要なのは、安全な延長範囲を確保するために必要な本数のインプラントを適切に配置することです。従来のオールオン4では4本のインプラントで支えますが、患者様の骨の状態や口腔内の条件によっては、APスプレッド理論の安全基準を満たすことができない場合があります。
このような場合、当院では患者様の長期的な安全性と快適性を優先的に考え、オールオン6(6本)、オールオン7(7本)、オールオン8(8本)といった、より多くのインプラントを使用した治療法をご提案いたします。本数を増やすことで、APスプレッドの安全基準をクリアし、より安定した咬合と長期的な成功につながります。
当院の治療方針
オールオン4、その前に…
先ずは「その歯は残せないか?」を追求する
当院では、先ずは歯を残すことを追求する事を前提としたポリシーをモットーとしています。そのうえで、オールオン4(オールオンX)も実施しているクリニックです。
例えば、セカンドオピニオンの患者様が来院された際、本当にその歯は残せないのか?「全て抜歯してオールオン4」が本当にベストであり、他の方法も聞いたうえで、患者様が選択されているのか?といった、「患者様への様々な情報提供を追求」し「患者様が多くの情報を知った上で、ベストアンサーを選ばれているか?」を確認し、患者様が情報弱者になっておらず、機会損失をされていないか?を先ずは確認いたします。
名古屋イースト歯科・矯正歯科は、地域の皆様が安心して通えるよう、患者様を第一に考え、新しい設備と徹底した衛生管理のもと診療を行っています。
治療の際は、患者様の天然歯をできる限り保存することを目指して、取り組んでいます。
一方で、歯を失ってしまった方や歯がボロボロな方に向けた治療も行っており、長く快適に使えるオールオン4・インプラント治療の提供にも努めています。
「本当にその治療方法で大丈夫か」を慎重に考え、10年後、20年後もお口が健康的で、快適な状態でいられる治療方法の提案をさせていただきます。
必ずしも、オールオン4の4本だけが、インプラント治療として適した方法とは限りません。治療選択の際は、患者様にご納得いただけるまで丁寧に説明いたします。長期的な健康を重視したご提案をするため、ご希望とは異なる治療法をおすすめする場合もございます。
長持ちするオールオン4・インプラント治療を受けたいとお考えの方は、ご来院いただき、患者様に適した治療方法を一緒に見つけてまいりましょう。
なぜ名古屋イースト歯科・矯正歯科では
4本以上のインプラントを埋め込むのか
当院が4本以上インプラント体を埋め込む理由は、APスプレッドの考え方に由来しています。
例えば、4本のインプラントでオールオン4を支えた場合、治療から数年は問題なく使えますが、数年後に1本抜けてしまうケースがあります。この場合、インプラントをもう1本埋め込んで4本に戻せばいいと考えられるかもしれません。
実際戻せるケースも存在しますが、ほとんどのケースにおいて再び同じ箇所に1本埋入することは難しいのが実情です。なぜ埋入が難しくなるかというとインプラントを長期間使用することによって、顎の骨が溶けて無くなる、もしくは薄くなってしまうからです。
もし、1本抜けてしまった場合、さらなる埋入が難しくなるということは、バランスが悪い状態でオールオン4の使用を続けなくてはなりません。こうなると噛む力の配分が崩れた状態で、オールオン4を使用するため、バランスがとれていた期間と比べ、一部分に過度の力がかかってしまいます。
このような状況を防ぐためにも、名古屋イースト歯科・矯正歯科でオールオン4治療を行う場合は、4本の埋入の場合よりも治療費が高くなりますが、長期的にオールオン4をお使いいただく観点から5本から7本程度のインプラントを埋め込むことをご提案させていただく場合もございます。
オールオンXで本数を決定する要素
①骨の残存量
②骨の残存している場所
③ご自身の年齢(何年利用できるか?)
④歯周病の病歴(歯周病に対して抵抗力があるか?ないか?)
⑤全身の病歴
お口の状態によって、必要な本数は変わるため、まずはお口の検査を受けていただき、カウンセリングにて、治療には何本が適切なのか、詳しくご案内いたします。

当院は、包括的なオールオン4・インプラント治療を行っており、担当医である原田医師を中心とした9名の歯科医師が(※)患者様のお口をサポートします。
(※)2025年11月現在


初回カウンセリング
オールオン4治療の第一歩はカウンセリングです。この段階では、オールオン4の治療内容、必要な期間や費用、インプラントの持続性、およびメンテナンスの頻度など、治療に関する詳細を丁寧にお伝えします。また、患者様のご要望や疑問点も深くヒアリングし、通常の歯科治療とは異なる点も含め、治療内容にご納得いただけるまで説明することで、安心して次のステップへ進めるよう努めます。


施術前の精密検査
オールオン4を含むインプラント治療は、顎の骨に人工歯根を埋め込むため、施術前の精密な検査が不可欠です。当院では歯科用CTを導入しており、神経や血管の位置、骨の厚みや密度など、従来のレントゲンでは判別できない細部まで立体的に診断します。これにより、より安全かつ正確なオールオン4治療計画を立てることが可能です。


治療計画策定と事前処置・安全装置作成
精密検査で得られた詳細なデータに基づき、患者様一人ひとりに適切なオールオン4の治療計画を策定し提案します。骨量が少ない場合でも、傾斜埋入(インプラントを斜めに埋め込む技術)により骨造成手術が不要なケースが多いのがオールオン4の特長ですが、インプラントの長期的な安定性を確保するため、必要に応じて歯周病治療や虫歯治療など、口腔環境を整えるための事前処置も実施し、良好な土台作りを重視します。その後、手術で使用する安全装置を作成します。


オールオン4インプラント処置
( 手術:ガイデッドサージェリー )
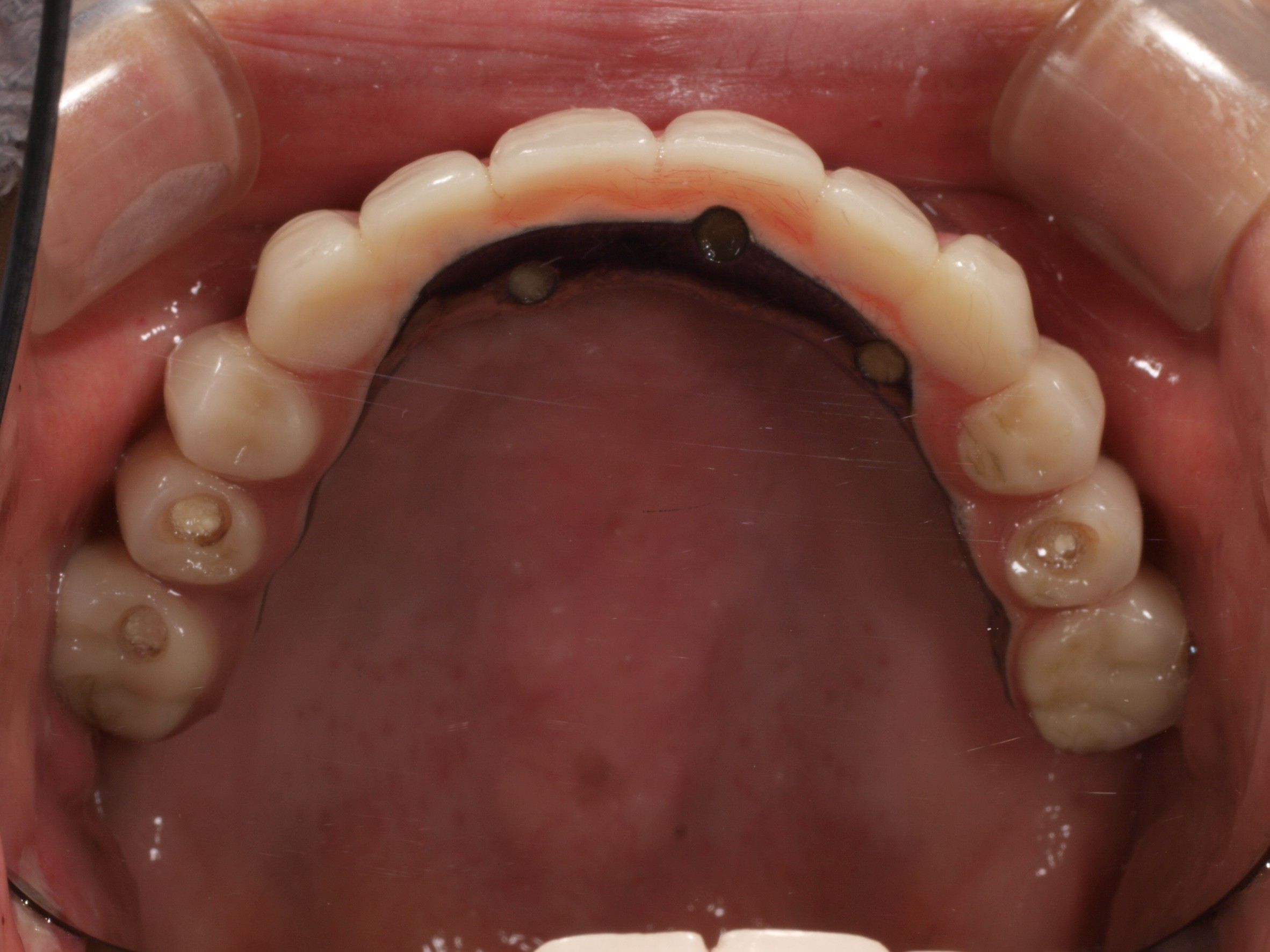
オールオン4の特長は、片顎につき最小4本のインプラントを傾斜埋入し、手術当日に仮の義歯を装着できる即日仮歯の装着が可能な点です。これにより、歯のない期間を過ごす必要がなく、見た目と噛み合わせ機能を速やかに回復できます。骨量が十分にある部分を選んで斜めにインプラントを埋め込むため、骨造成手術の必要が少ない場合が多く、身体的・費用的負担を軽減できるというメリットもあります。ガイデッドサージェリーを活用することで、より正確かつ安全に、痛みや腫れ、出血を最小限に抑えた手術が期待できます。


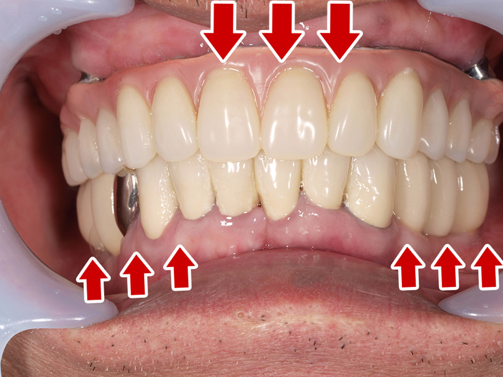
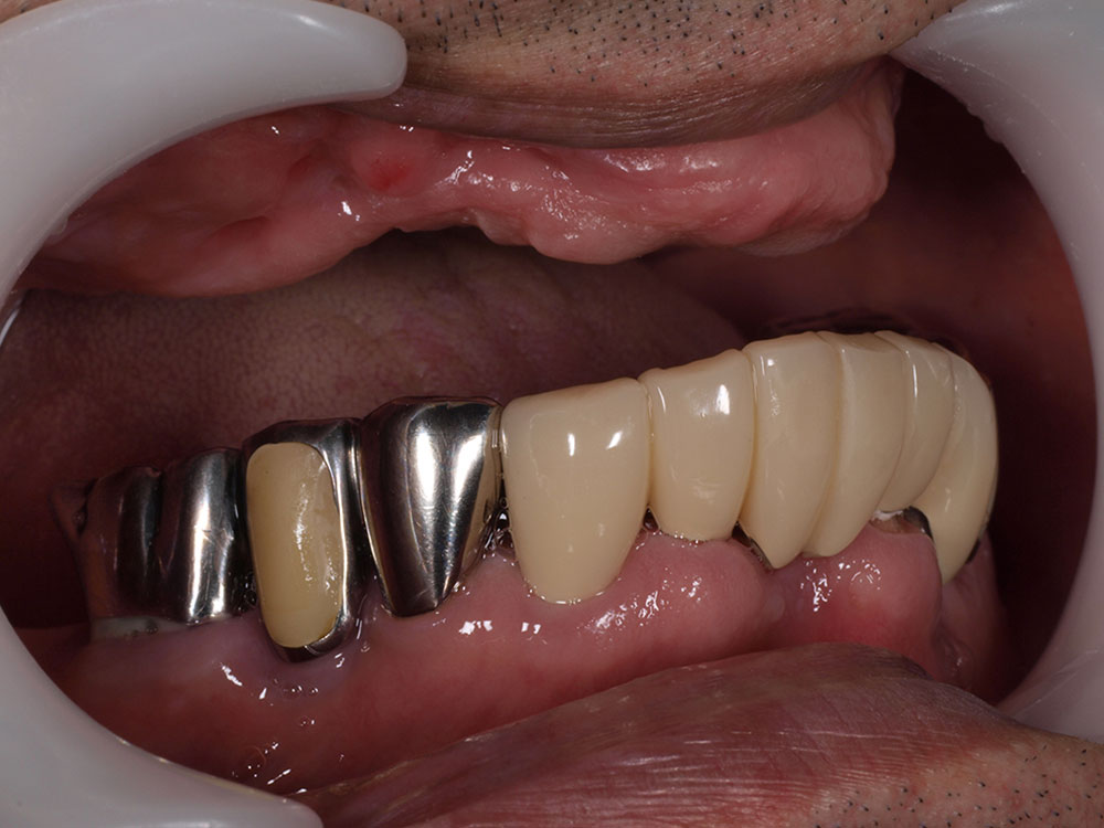
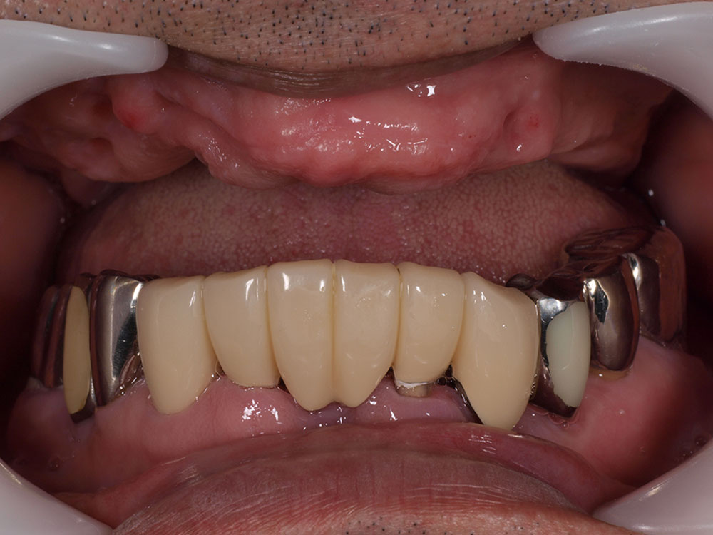
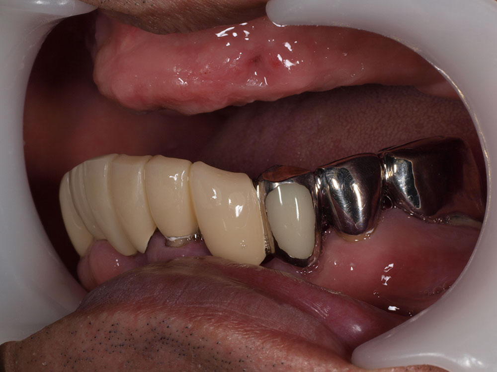
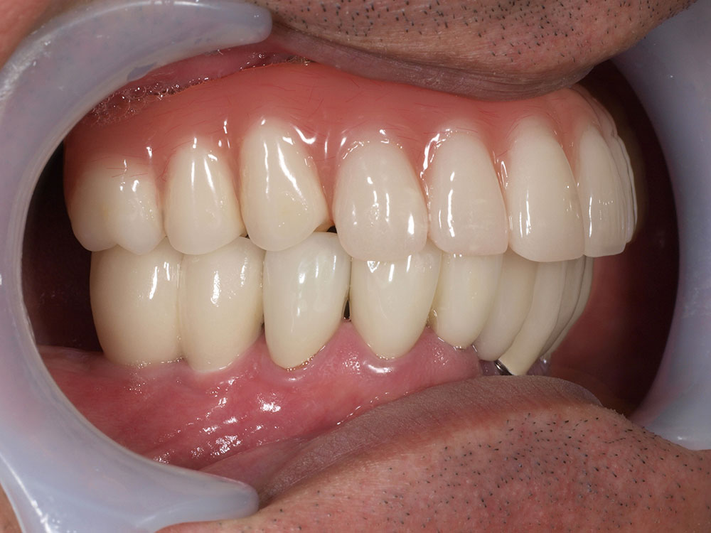
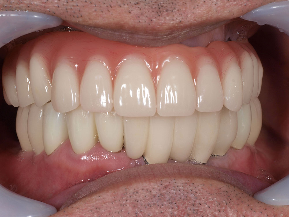
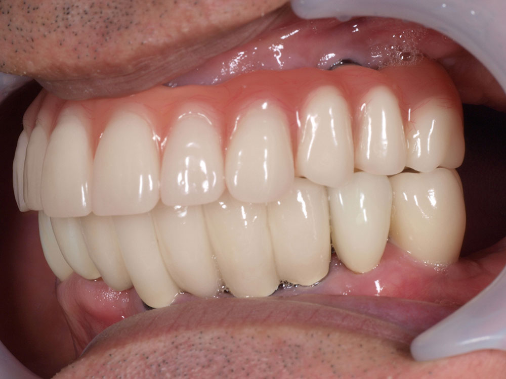
上部構造(人工歯)の装着
インプラントと骨が結合し、口腔内が安定した後、最終的な上部構造を装着します。オールオン4の上部構造は、前歯から奥歯まで連結したブリッジ状の人工歯で、失われた歯茎の部分も人工材料で一体的に作られています。全て一体で作られた人工歯は、歯の大きさ、歯並び、歯茎の引き締まり具合も全て左右対称に理想的な状態にデザインされており、優れた審美性を提供します。唇の張りまで回復するため、清潔で若々しい印象を目指すことができます。


治療後の定期メンテナンス
オールオン4治療完了後も、その長期的な成功とインプラントの寿命を維持するためには、定期的なメンテナンスが不可欠です。当院ではインプラント治療に対して10年保証を設けており、この保証を継続するためには、インプラント手術日から年間3~4回の定期メンテナンスを受診することは必須です。また、上部構造(歯の部分)の破損防止、骨内のインプラントの過度な負担を避けるため、睡眠時に使用するマウスピースも着用も必須としています。オールオン4は埋入本数が少ないため、清掃管理が容易であり、適切なケアにより清潔な状態を保ち、インプラントを長持ちさせることができます。

名古屋イースト歯科・矯正歯科のオールオン4がおすすめな方
- ・天然の歯がボロボロな状態でありながら、全顎的な歯科治療を必要とされている方
- ・極力歯を抜かずオールオン4やインプラント治療を行いたい方
- ・インプラント治療を短期的なものではなく、30年、40年、50年といった長期的な視点で捉え、治療後のトラブル対応や継続的なメンテナンス体制を重視される方
- ・豊富な症例経験やトラブルシューティング能力を持つ歯科医師による治療を求めている方
担当歯科医師紹介

歯科医師 原田 正守
- 経歴
-
- ・2007年歯学博士号を取得
- ・愛知学院大学大学院歯学研究科を卒業
- ・愛知学院大学の非常勤講師を務めています
- 資格
-
- ・ノーベルバイオケア 講師
- ・国際口腔インプラント学会認定医
- 修了証取得
-
- ・ストローマン インプラント修了証取得
- ・その他、各種インプラント修了証取得
- ・ノーベルバイオケア インプラント修了証取得
- ・3iバイオメット(米国) インプラント修了証取得
当院では、原田医師を含む4名のインプラント担当医が在籍しており(※)、高い専門性と豊富な経験に基づいたインプラント治療を提供しています。
(※)2025年11月現在
インプラント治療実績
医療法人信義会 名古屋イースト歯科・矯正歯科は、累計4200本以上のインプラント手術に対応してきたドクターが在籍しております。
当院では、インプラント専用の機器導入により、骨造成術が必要な難症例を含め、多様な患者様の状況に対応できる万全な体制で施術を行っています。
インプラント治療は、手術件数が多いほど成功率が高いというデータもあり、質の高いインプラント治療を提供できるよう万全な体制を整え、施術を行っております。
※2003年4月~2025年11月実績
症例紹介














- 主訴
- 入れ歯が合わない。食べにくい。人生を豊かにしたい。
- 処置内容
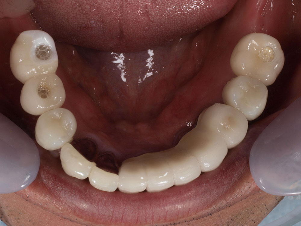
- 上顎4本で12歯(オールオン4)、下顎4本5歯。
上下抜歯即時埋入、即時荷重(手術当日にインプラントの上に仮歯装着)
- 治療費用
- 上顎:約290万(税込)、下顎:約210万円(税込)
- 治療期間・通院回数
- 上顎:9か月/9回
下顎:6か月/7回
- リスク
- 術後の腫れ、痛み(ピークは3日後、1週間で軽減)
上部構造物、仮歯の破折、人工歯根脱落リスクがあります














- 主訴
- 上顎入れ歯が辛い、下顎左右の歯が痛い、揺れる
- 処置内容
- 上顎6本(オールオン6) 下顎3本
- 治療費用
- 上顎:約350万円(税込)、下顎:約310万円(税込)仮歯まで5か月)
- 治療期間
- 上顎:1年(仮歯まで8か月)/約10回
下顎:8か月(仮歯まで5か月)/約7回
- リスク
- 上部構造物、仮歯の破折、術後の腫れ(3日)、人工歯根脱落リスクがあります













- 主訴
- 入れ歯が気持ち悪く、しっかりと食べれない。本当につらい。美味しく食べて、豊かな人生を過ごしたい。
- 処置内容
- 上顎6本(オールオン6)
- 治療費用
- 上顎350万円(税込)
- 治療期間
- 上顎1年(仮歯まで8か月)/約10回
- リスク
- 上部構造物、仮歯の破折、術後の腫れ(3日)、人工歯根脱落のリスクがあります
こちらをクリックすると次の症例にスライドします
名古屋イースト歯科・矯正歯科は、セカンドオピニオンにも対応しております。オールオン4について、さまざまな提案を受けたいとお考えの方やインプラント治療を受けたもののなかなか安定せず、不快感を感じてしまっている方など、さまざまな方がいらっしゃいます。
「全部抜くしかない」と伝えられたケースや「歯を残すのが難しい」といわれたケースなども、実際に治療を行うと歯を残せるケースや一部の抜歯で済むケースもありました。
当院は、オールオン4・インプラント治療後のメンテナンスなども実施しているので、オールオン4の治療を迷われている方、インプラント治療後でお困りの方などもぜひお越しください。
当院のポリシー
名古屋イースト歯科・矯正歯科は、患者様と歯科医師との関係性重視をポリシーとしています。これは、関係性のよさが治療のしやすさにつながっており、万が一トラブルが起きた際も患者様が相談しやすい、頼れる関係性を築くことを重視しているためです。
特にインプラント治療のように、治療後30年、40年、50年といった長期にわたるサポートを前提とする場合、患者様と歯科医院の間に相互のリスペクトがあることは不可欠だと考えております。

治療を検討している方へ
当院は、患者様のお口の健康を生涯にわたって支え、快適な生活を実現することを心がけて診療にあたっています。
私からお伝えしたいことは、これからオールオン4・インプラント治療を考えられている方は、「本当にそれで大丈夫か」をじっくりお考えいただきたいということです。
インプラントやオールオン4治療を受ける際は、長期的に使用するものとなるので、ケアやトラブルが起きた際の対応力がとても重要になってきます。そのため、外科的な知識だけでなく、さまざまな分野の知識を持つ歯科医師を選ぶことも重要です。
オールオン4・インプラントは、10年、20年と長く使うものです。だからこそ、しっかりと考え、ご自身が納得した状態で治療が受けられるよう、じっくり検討してみてはいかがでしょうか。
名古屋イースト歯科・矯正歯科は、オールオン4・インプラントの治療を検討されている方に向けて無料カウンセリングを実施しています。
当院のドクターの実績は累計4200本以上のインプラント実績があり、10年後インプラント残存率98%を達成しています。また、原田医師を含む5名のインプラント専門医が在籍し、チーム医療体制でサポートいたします。治療後も10年間の保証制度により、長期にわたって患者様の安心をお約束します。
当院は、包括的に幅広く診療を行っているので、歯がボロボロだけれど、今残っている健康な歯だけはなんとか残したまま治療を受けたいなどのご要望にできる限り対応することが可能です。
オールオン4・インプラントに関して、疑問点や自分に適した治療は何なのかといったお悩みまでご相談いただけますので、まずはご来院ください。
※2003年4月~2025年11月実績
当院について
About
- 医院名
-
名古屋イースト歯科・矯正歯科
- 住所
- 愛知県名古屋市名東区明が丘124-1 amiamiビル1階
- 電話番号
- 052-715-3396
- 診療時間
-
9:30~13:00/14:00~17:30
※土日のみ 9:00~13:00/14:00~17:00
※一般歯科は日曜・木曜は診療日と休診日が不定期です
※矯正歯科は木曜・日曜も基本診療です


