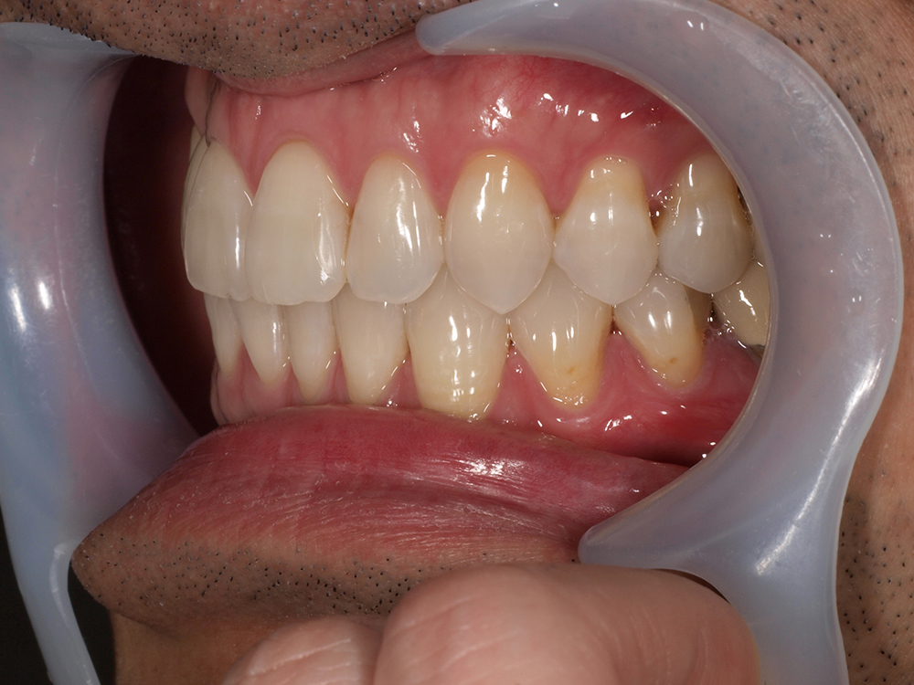
症例 インプラント














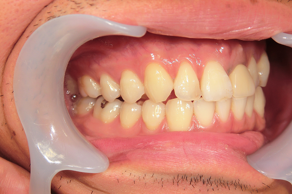
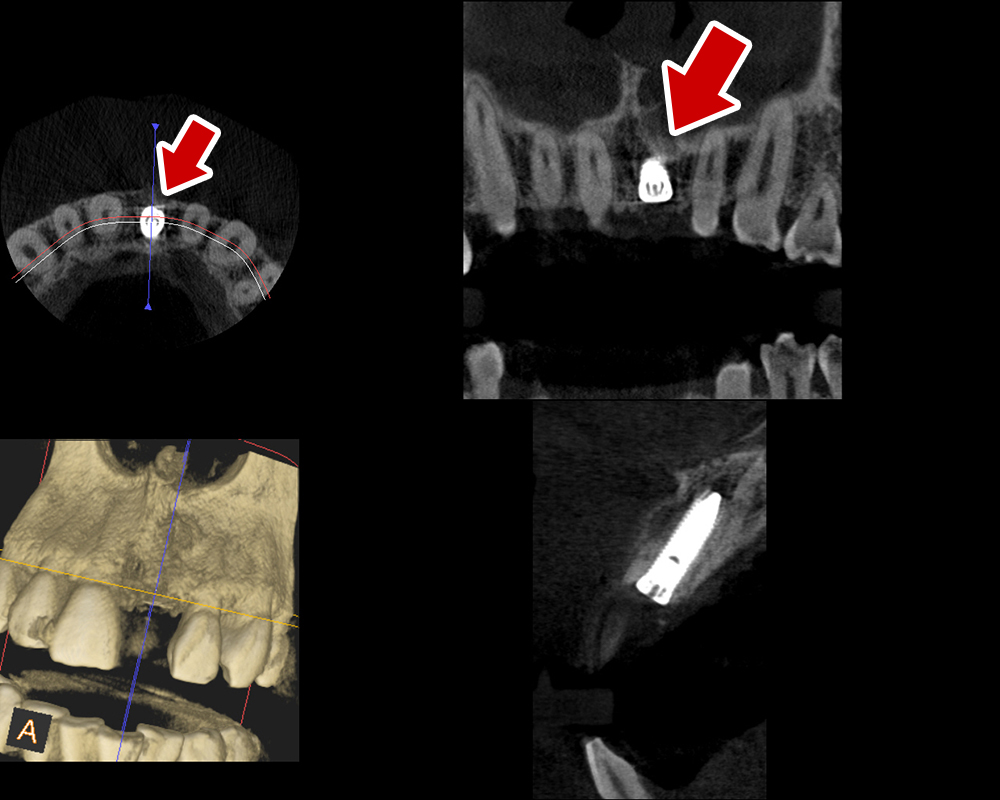
29歳 男性 歯科医療関係者紹介。また、お姉さんが歯科医療関係者。
- 主訴
- 左上1番目の歯が長期にわたり痛く、噛めない。
- 処置内容
-
1本インプラント埋入+再生療法。抜歯即時埋入、即時荷重法⇒抜歯を行い、
同時にインプラント埋入(即時埋入)、そして同時にインプラントへ仮歯を装着(即時荷重)
歯が無い期間なく、社会生活に支障が出ない
- 治療費用
- 約39万円(税込)
- 治療期間
-
9か月
手術当日に人工歯(仮歯)まで装着。 (通常待機期間は1年必要です。 (抜歯後6か月+インプラント(根)待機期間6か月+仮歯2か月))
- リスク
- 上部構造物、仮歯の破折、術後の腫れ(3日)、人工歯根脱落リスクがあります
- その他
- 学術雑誌、海外公演(アメリカ、ヨーロッパ)に多く紹介されたケース














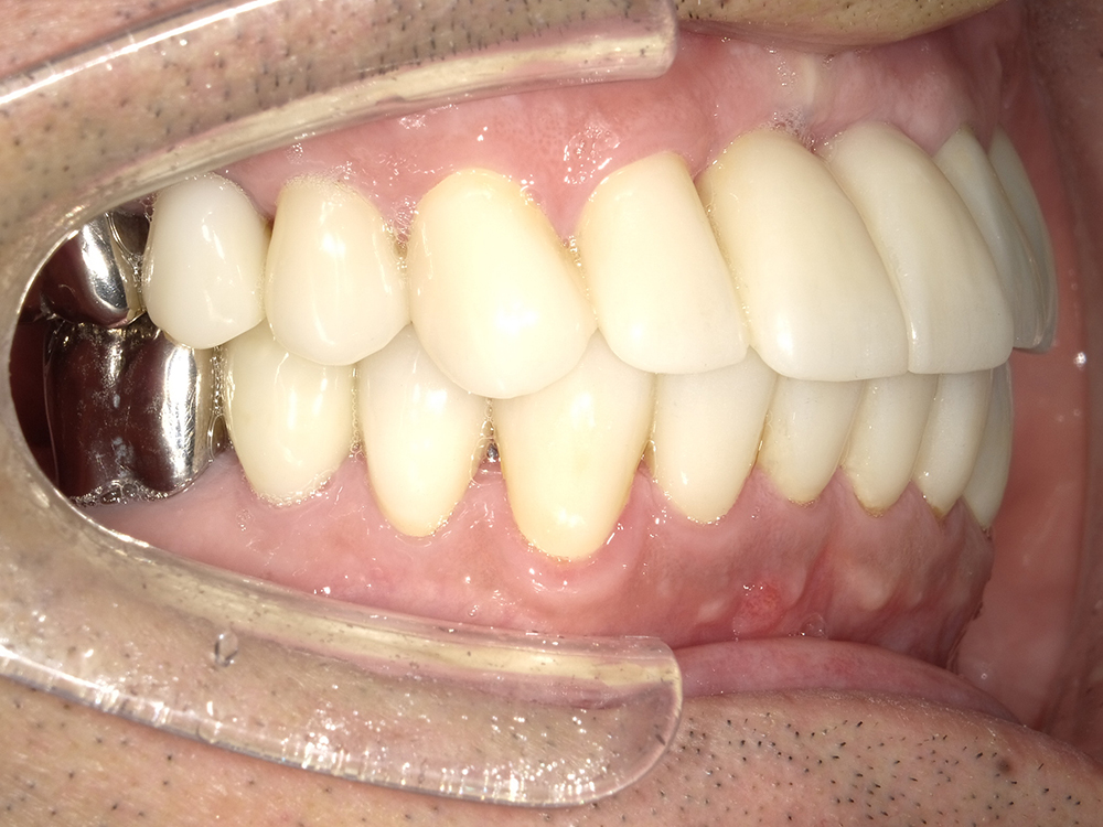
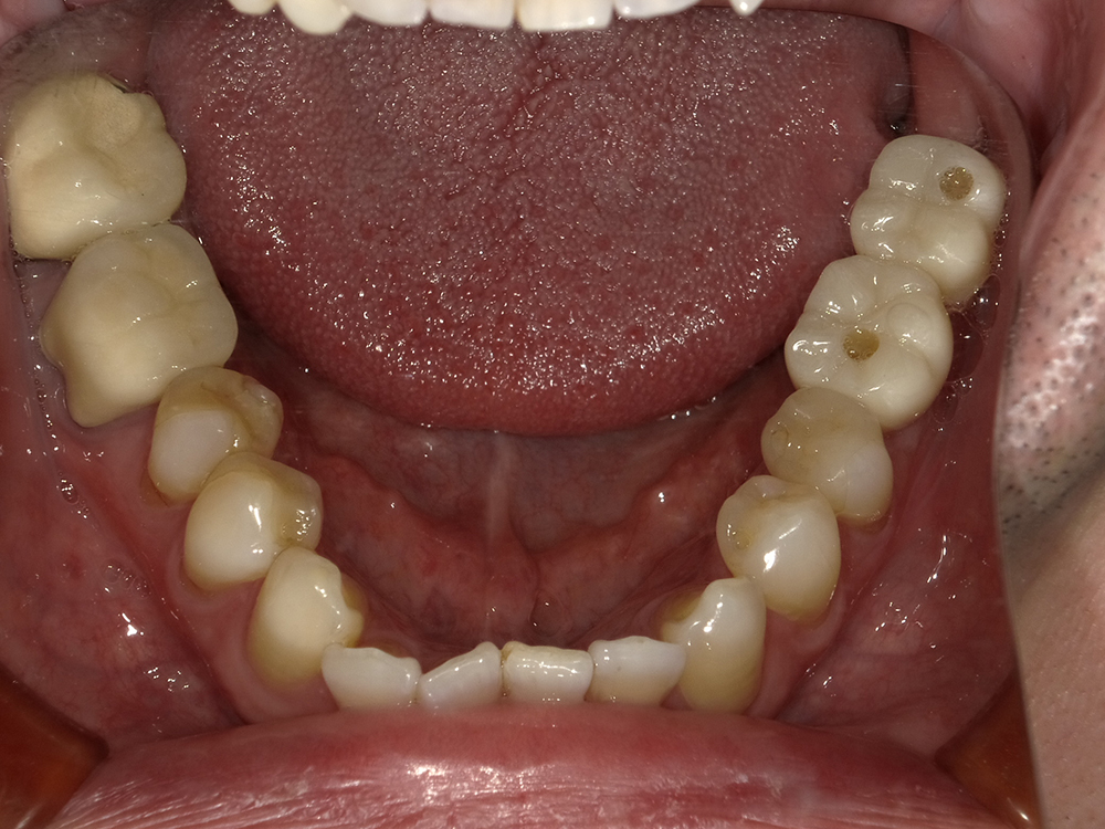
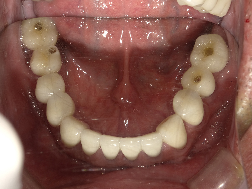
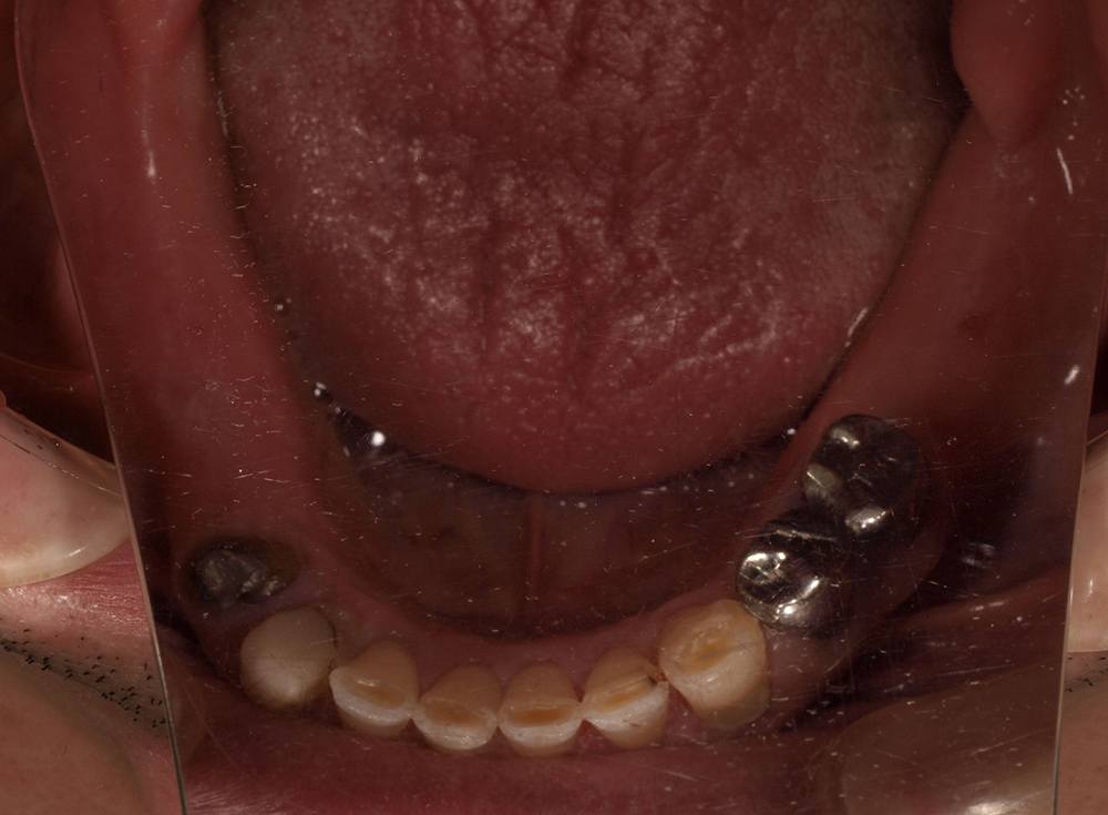
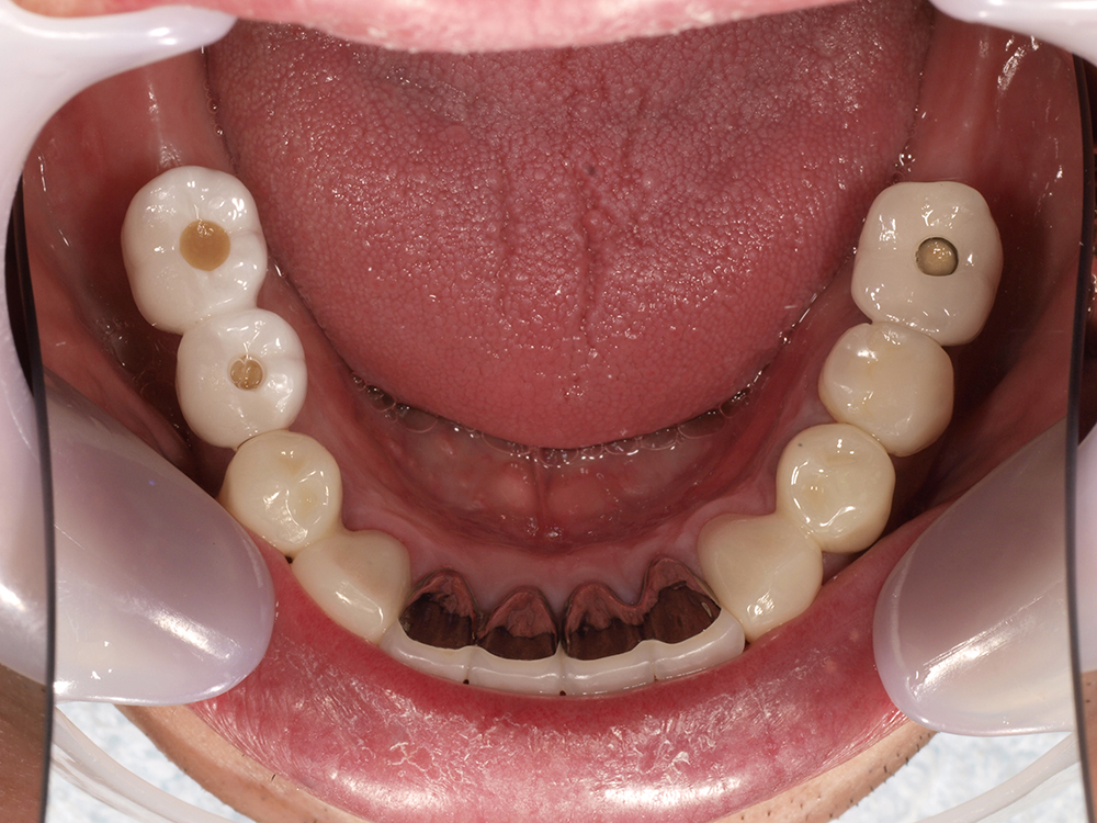
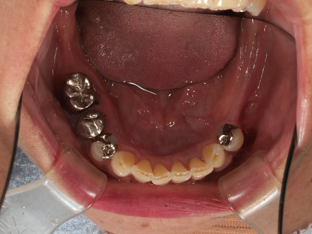
60歳 男性 歯科大学病院 教授からの紹介。ご本人は産婦人科医
- 主訴
- 左下に歯が無くて食事がしずらい
- 処置内容
- 2本インプラント埋入+再生処置。
- 治療費用
- 下顎 約80万円(税込)
- 治療期間
- 下顎:6か月
- リスク
-
術後の腫れ、痛み(ピークは3日後、1週間で軽減)
上部構造物、仮歯の破折、人工歯根脱落リスクがあります
- その他
- 歯科大学病院 教授からの紹介。ご本人は産婦人科医














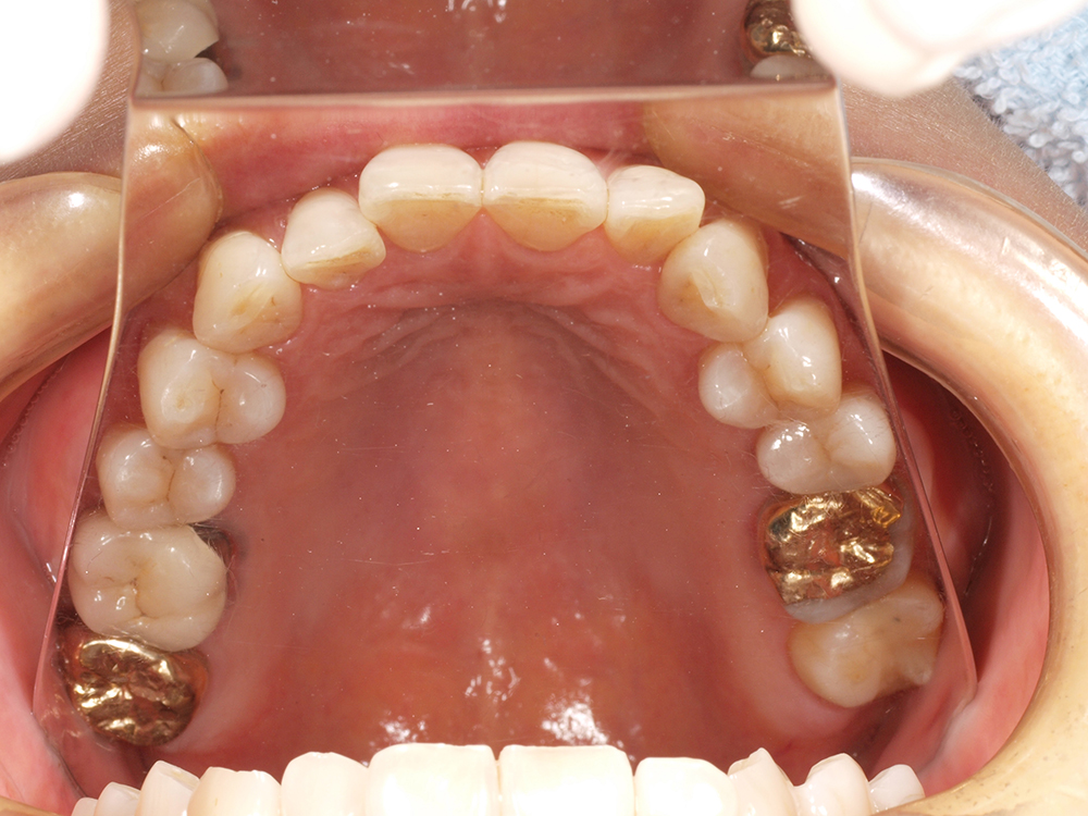
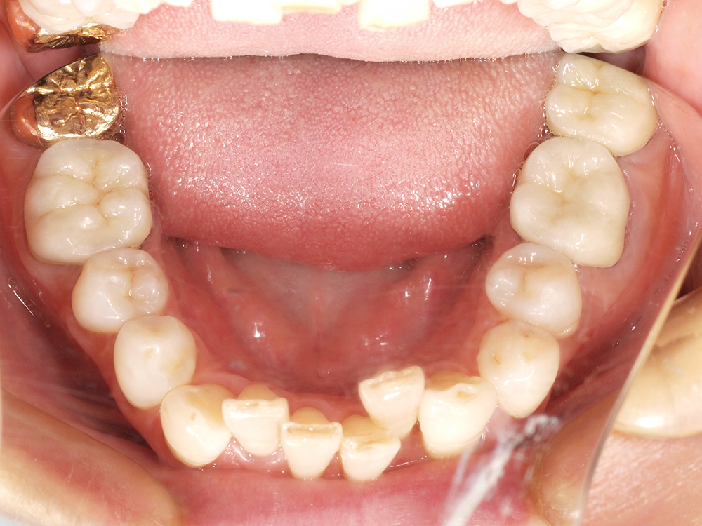
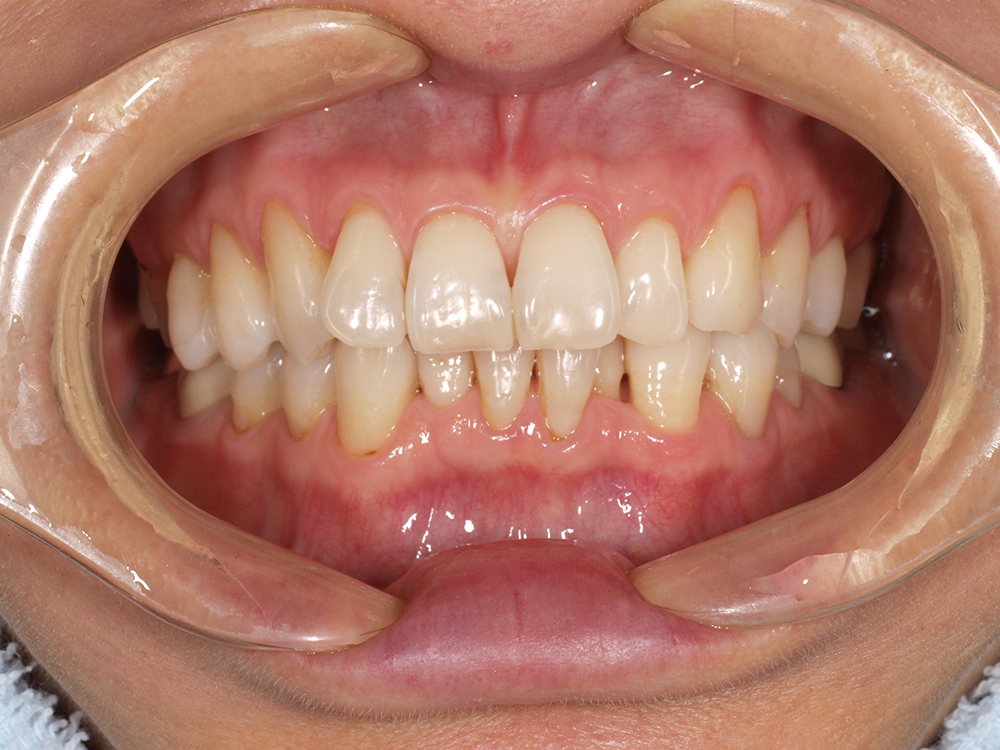
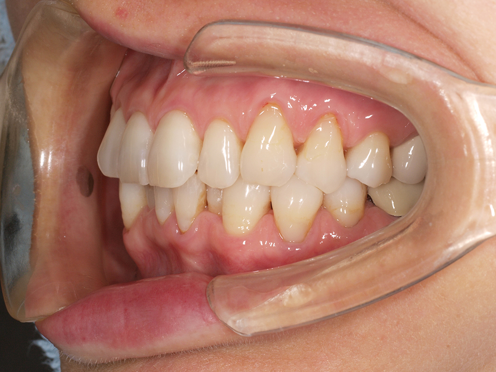
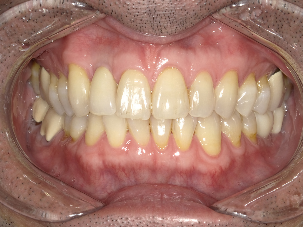
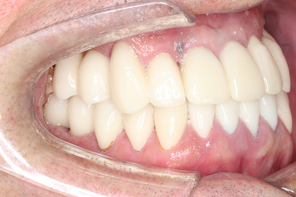
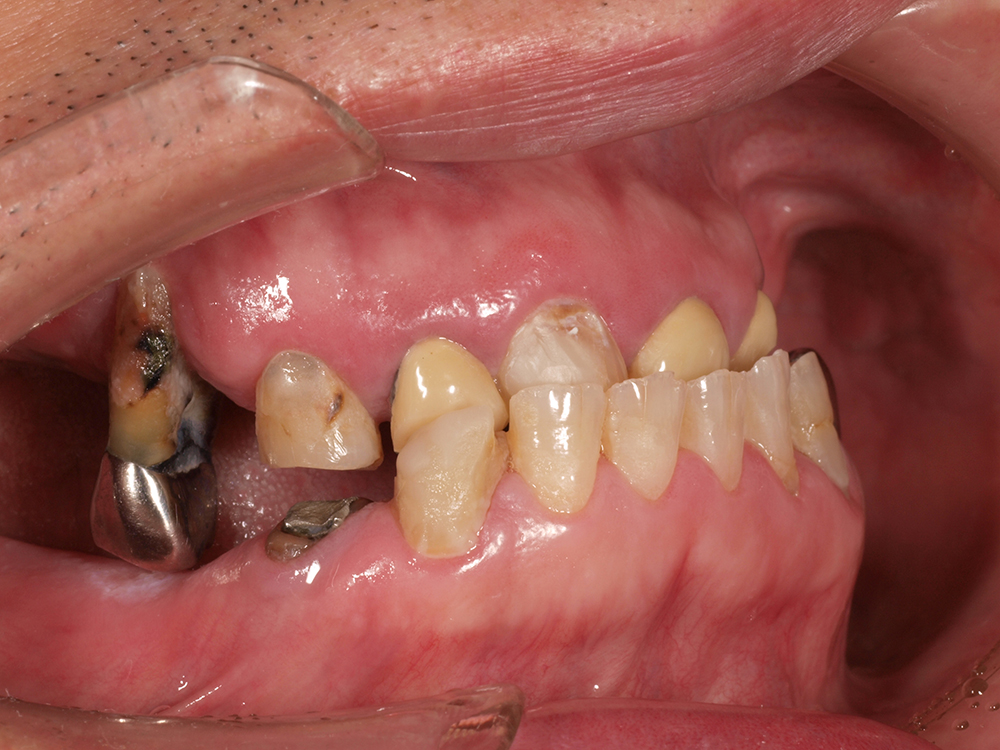
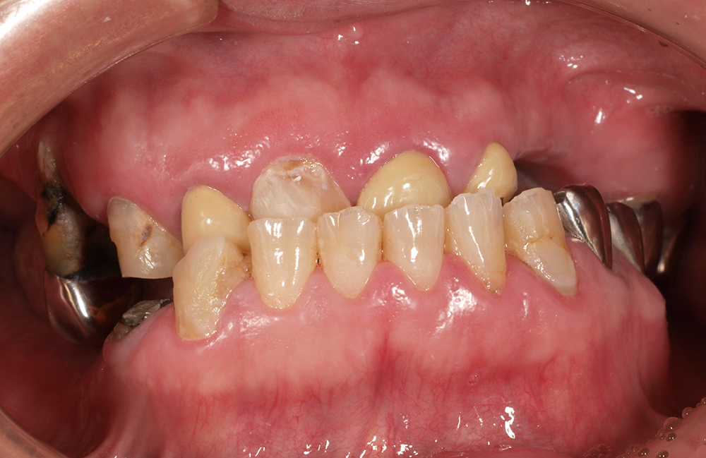
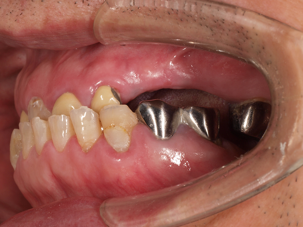
58歳 女性 歯科大学病院 教授からの紹介。
- 主訴
- 左下6番目、右上4番目の歯が長期にわたり痛く、噛めない、
- 処置内容
-
2本インプラント埋入+再生処置。抜歯即時埋入、⇒抜歯を行い、同時にインプラント埋入(即時埋入)
矯正処置
- 治療費用
- 上顎、下顎共に、約40万円(税込)(合計約80万円(税込))
- 治療期間
- 下顎:約6か月、上顎:約9か月
- リスク
- 上部構造物、仮歯の破折、術後の腫れ(3日)、人工歯根脱落リスクがあります
- その他
- 歯科大学病院 教授からの紹介。














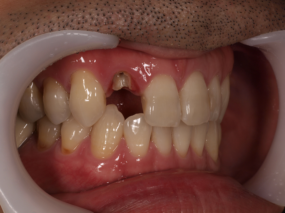
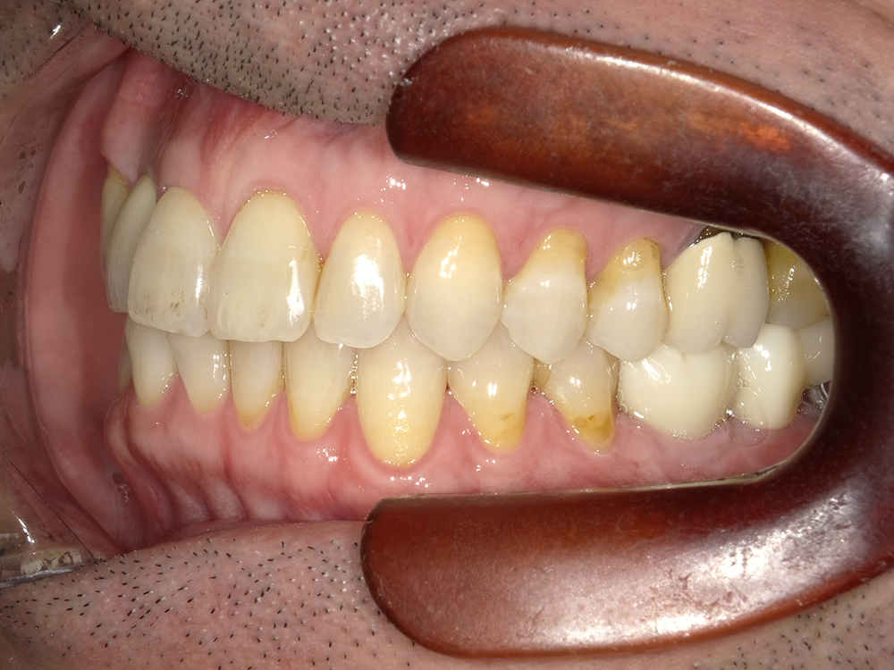
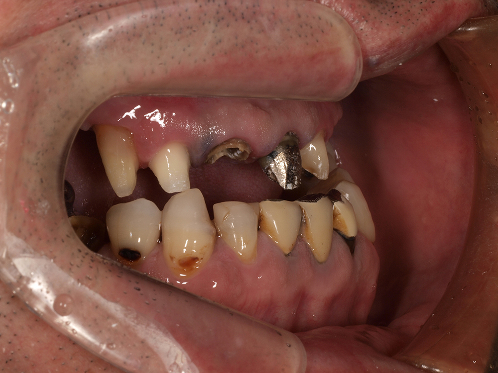
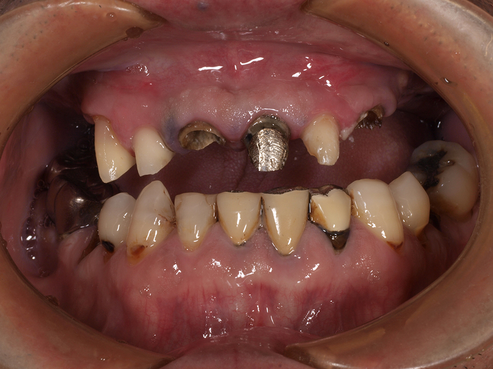
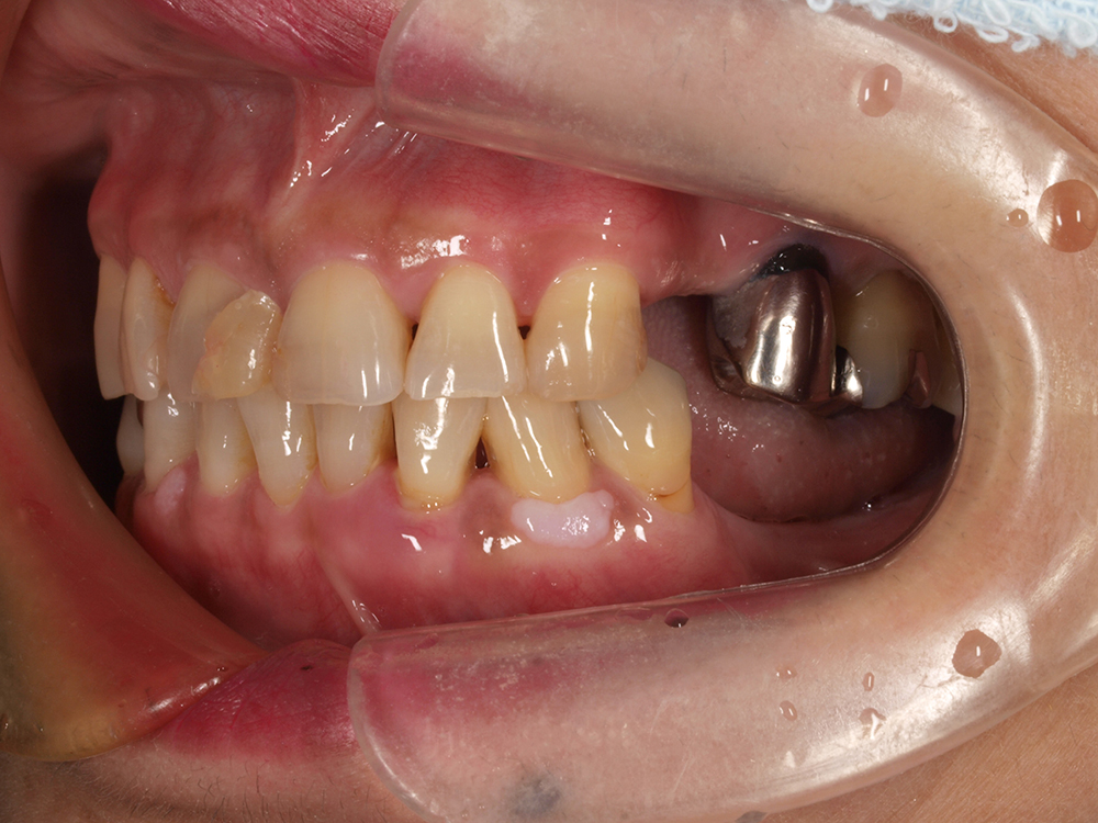
45歳 男性 医療関係者紹介
- 主訴
- 右前歯が取れた(右上2)
- 処置内容
-
1本インプラント埋入+再生療法
抜歯即時埋入⇒抜歯を行い、同時にインプラント埋入(即時埋入)
- 治療費用
- 上顎:約40万円(税込)
- 治療期間
- 約11か月
- リスク
- 上部構造物、仮歯の破折、術後の腫れ(3日)、人工歯根脱落リスクがあります














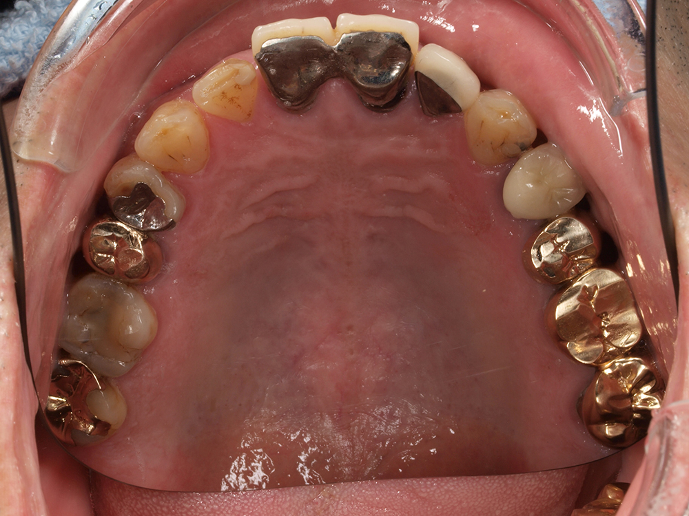
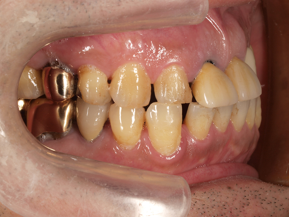
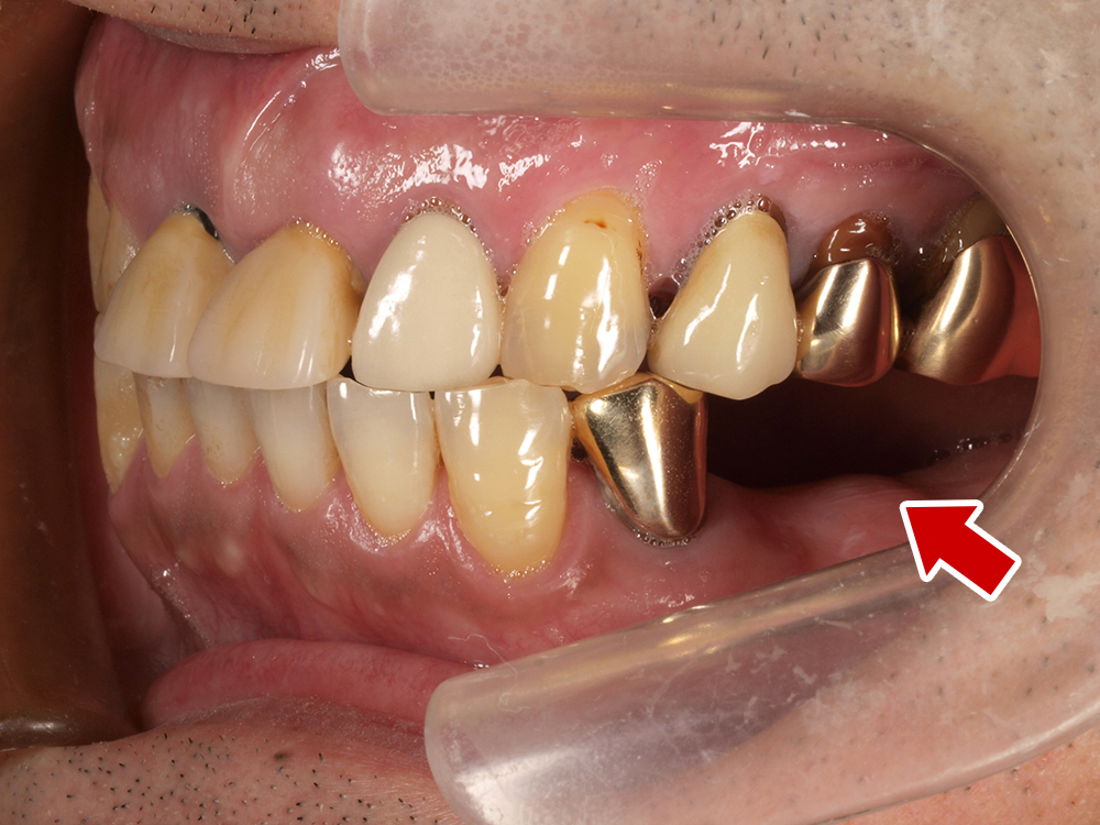
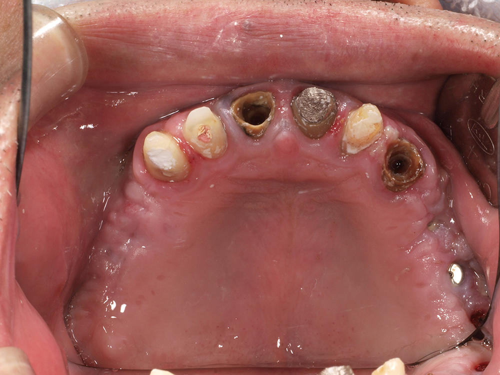
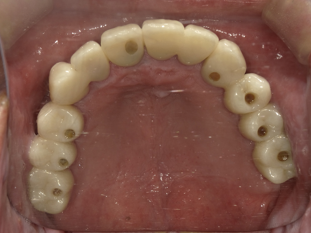
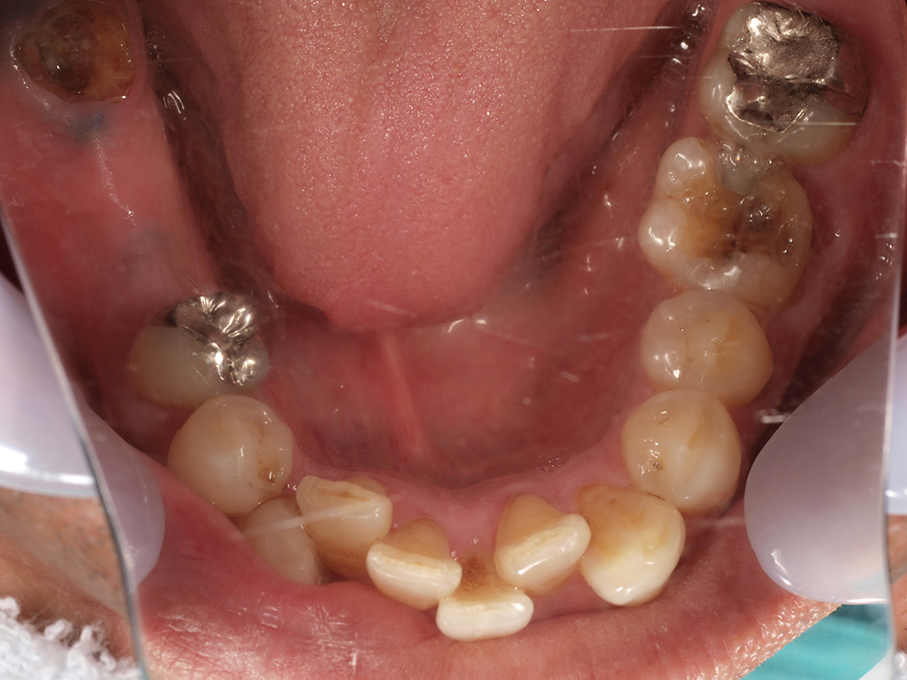
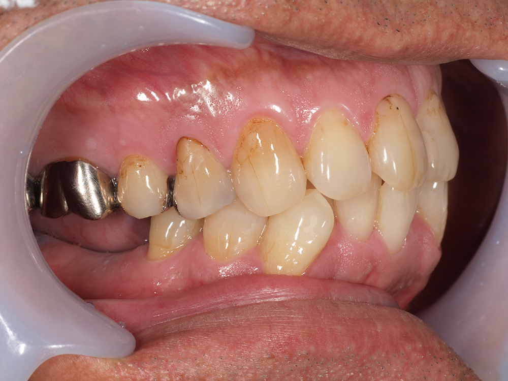
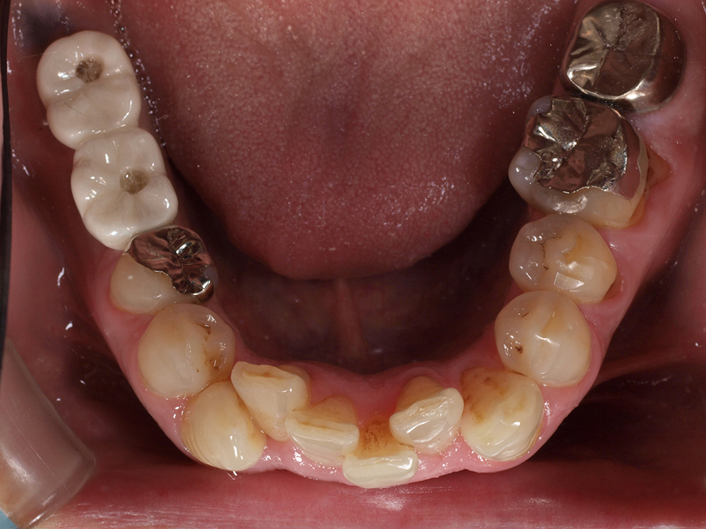
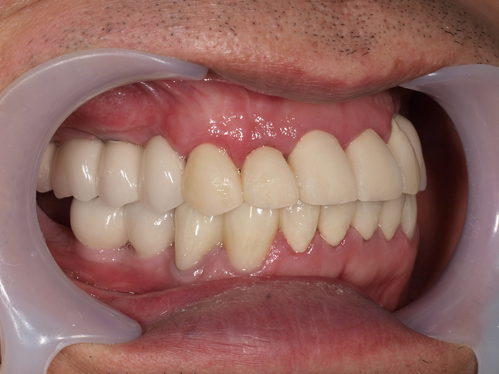
53歳 男性
- 主訴
- 全然噛めない。上の歯が取れてきた
- 処置内容
- 上顎:8本 下顎:2本
- 治療費用
- 上顎:約320万円(税込)、下顎:約160万円(税込)
- 治療期間
-
上顎:1年(仮歯まで8か月)
下顎:8か月(仮歯まで5か月)
- リスク
- 上部構造物、仮歯の破折、術後の腫れ(3日)、人工歯根脱落リスクがあります














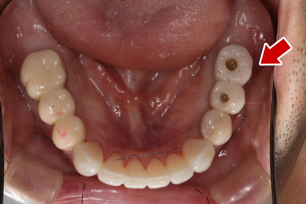
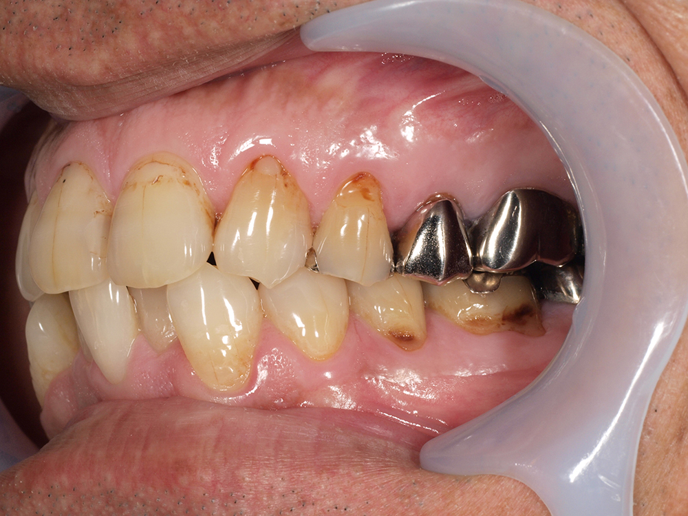
58歳 男性 歯科医療関係者紹介
- 主訴
- 右下を抜歯して噛めない
- 処置内容
- インプラント2本埋入
- 治療費用
- 約80万円(税込)
- 治療期間
-
8か月
仮歯完成まで5か月(この時点で噛めます)、+3か月で最終素材へ
- リスク
- 上部構造物、仮歯の破折、術後の腫れ(3日)、人工歯根脱落リスクがあります














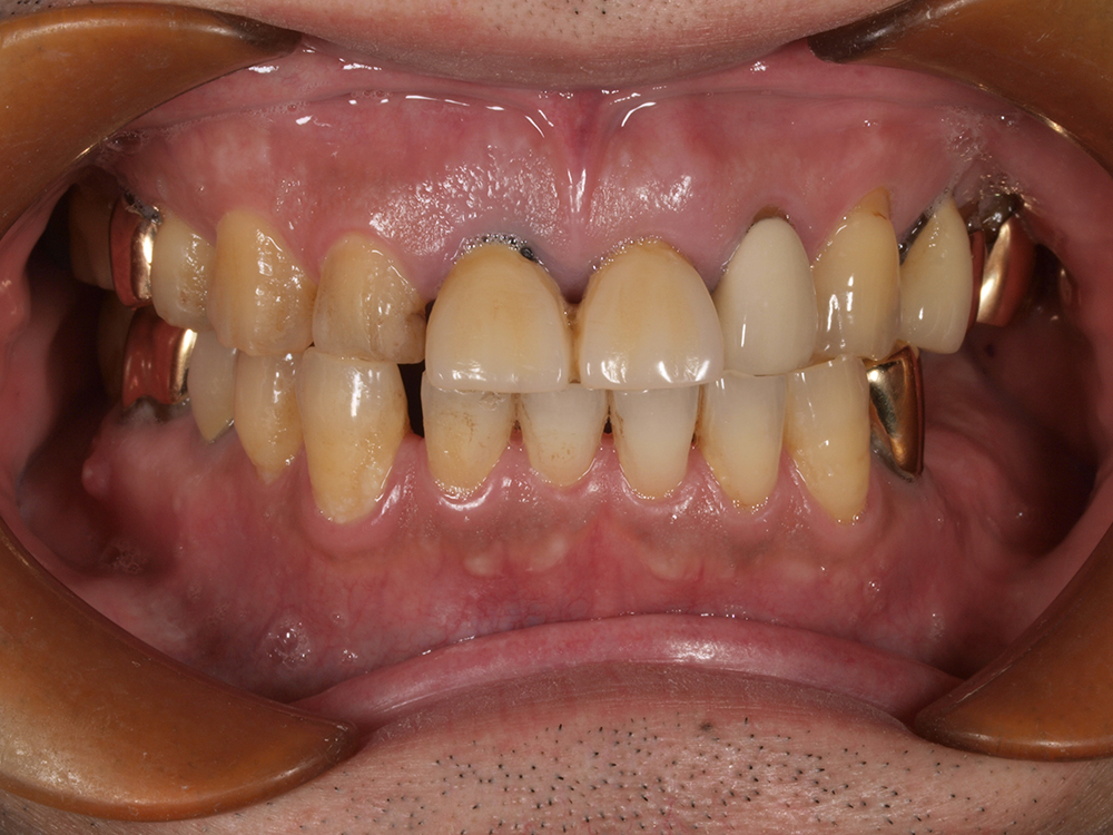
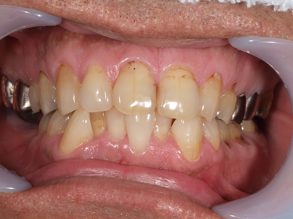
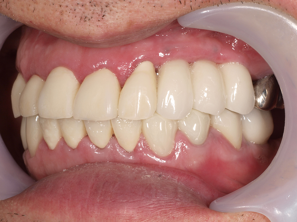
55歳 男性
- 主訴
- 前歯でしか咬めなく、食事を採るのに非常に困難で辛い
- 処置内容
- 上顎6本、下顎3本
- 治療費用
- 上顎:約230万(税込)下顎:約120万(税込)
- 治療期間
- 上顎:1年(仮歯まで8か月)下顎:8か月(仮歯まで5か月)
- リスク
- 上部構造物、仮歯の破折、術後の腫れ(3日)、人工歯根脱落リスクがあります














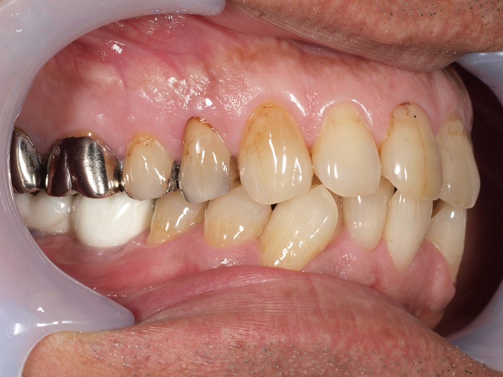
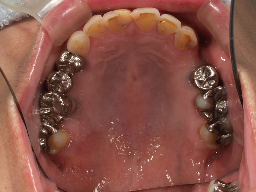
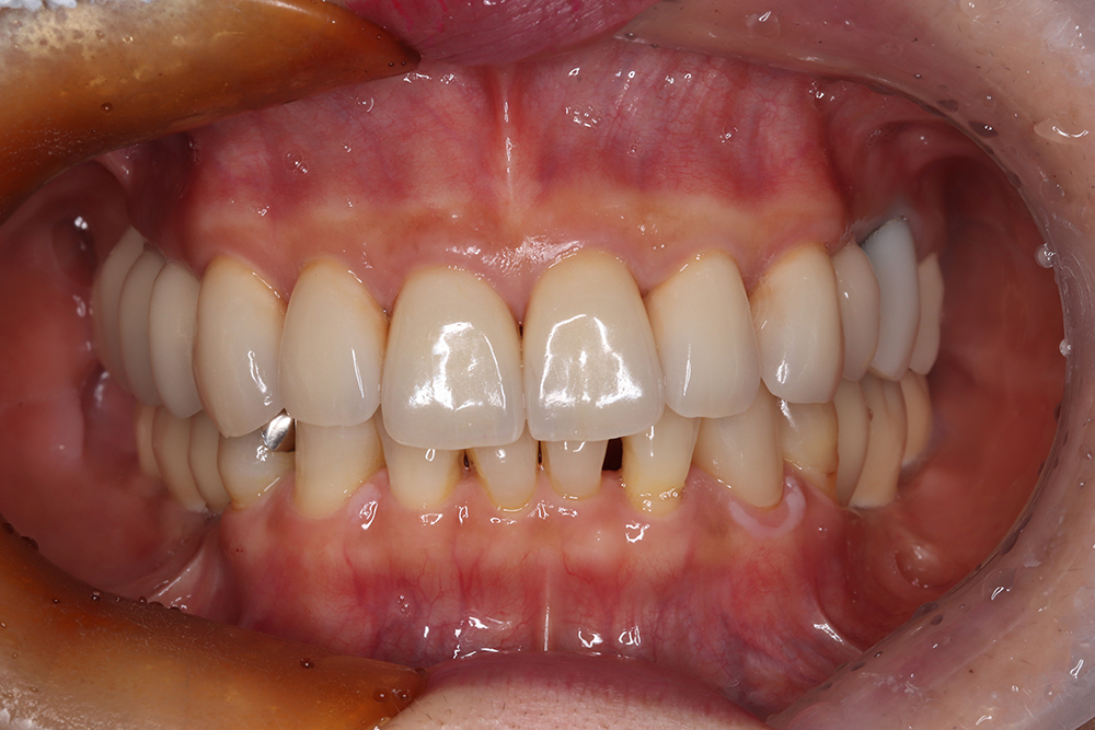
64歳 女性 紹介患者様
- 主訴
- 上下左右の歯が無くて、食べずらい、右下の歯が痛い
- 処置内容
- 右上3本、左上1本、右下3本、左下3本、鎮静麻酔
- 治療費用
- 上顎:約180万円(税込)下顎:約170万円(税込)
- 治療期間
- 上顎:約9か月、下顎:約6か月
- リスク
-
術後の腫れ、痛み(ピークは3日後、1週間で軽減)
上部構造物、仮歯の破折、人工歯根脱落リスクがあります





